SMILE DESIGN
Smile Design is a personalized cosmetic dental procedure that harmonizes the shape, size, color, and alignment of your teeth with your facial features. It’s a blend of art and science that ensures your smile complements your unique personality. This treatment addresses various dental issues, including:
- Crooked or misaligned teeth
- Stained or discolored teeth
- Overbite, Underbite and Crossbite
- Crowded teeth
- Open mouth
- Gaps between teeth
- Uneven gum lines
The result? A natural, symmetrical smile tailored to perfection.
Veneers
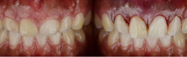
GUMMY SMILE CORRECTION
We show orthodontic treatment simulation using advanced CAD-CAM software
SMILE SIMULATION
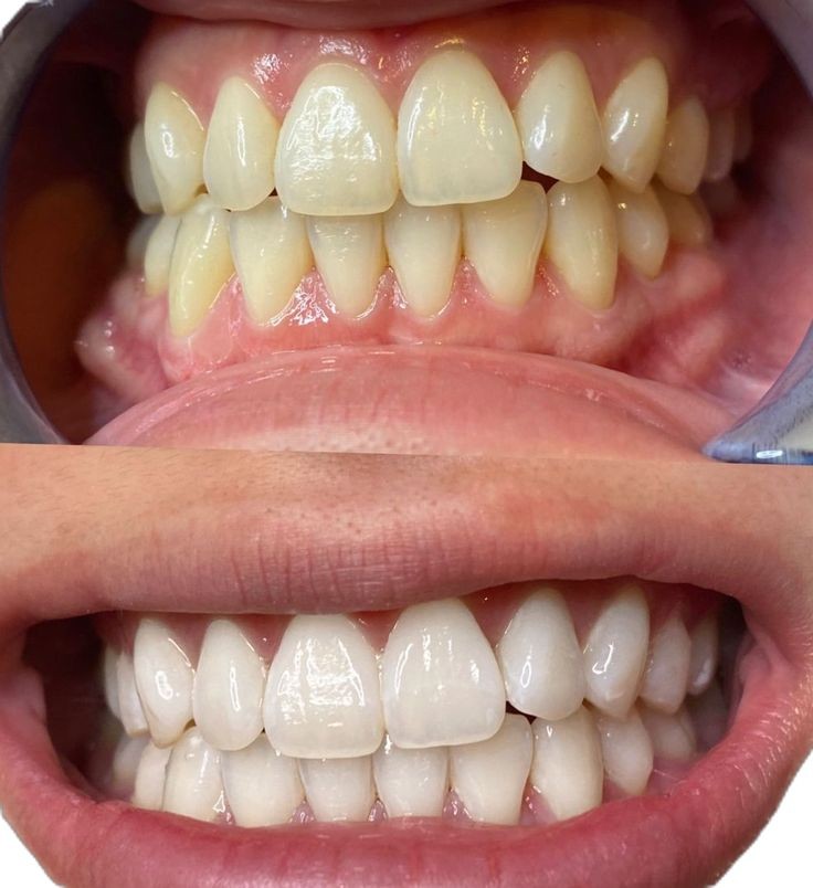
TEETH WHITENING
