
Patients

Ortho Cases

Implants

Certified Doctors

%
Gaurantee Success

Confident Smiles
About Clinic
KANI ADVANCED DENTAL CARE
GCR CERTIFIED
Kani Advanced Dental Care is one of the best dental clinic in Hosur.
At our clinic, we are committed to providing our patients with genuine care and excellent dentistry at any given point in time. Your health is our priority.
We provide personalized treatment to each patient. Our surgeons are among the best dentist in Hosur, who understand that every individual has unique and specific dental health care needs.

10x Safety
Enhanced Safety Protocols combatting 2019-nCoV under WHO guidelines to ensure 100% sterile clinic for staff, patients and attendants.

Quality
Quality being the core value of the organization, the dedicated Quality Team at Kani Advanced Dental Care specially assigned ensures the clinics provide the highest.

4 Step Sterilization
This is Kani Advanced Dental Care’s Trademark process since past many years and differentiates Kani Advanced Dental Care from all other Dental Clinics.

Equipment & Technology
Kani’s modern clinics offer the very latest advantages in dental technology and equipment. Kani Advanced Dental Care doctors are continually updated.
Our Service
High Quality Service for You
We are committed to sustainability. eco-friendly initiatives.

DENTAL IMPLANTS
Dental implants restore not only your smile and chewing ability but also your self-assurance,

ALIGNERS : INVISALIGN
Clear Aligners, often referred to as Invisible Braces,

SMILE DESIGN
Smile Design is a personalized cosmetic dental procedure that harmonizes the shape,

CADCAM DENTISTRY AND ADVANCED DIAGNOSTICS
CAD/CAM dentistry uses Computer-Aided Design and Computer-Aided Manufacturing to digitally design and create

LASER DENTISTRY
LASER stands for Light Amplification by the Stimulated Emission of Radiation.

BRACES
Dental Braces are a type of orthodontic treatment to straighten teeth. They consist of wires, brackets, and bands. Braces

GENERAL DENTAL SERVICES
SCALING AND ROOT PLANNING,ROOTCANAL TREATMENT

KIDS DENTISTRY
Kids are special and so are their oral needs. Pediatric Dentistry

GERIATRIC DENTISTRY
Geriatric dentistry, or gerodontics, is the specialized field focusing
Recieve the world with smile
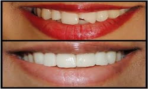
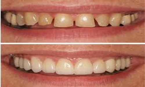
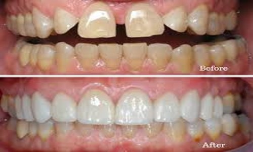
Our Recent Works
Our satisfied patients now span the entire range of Tamilnadu and Karnataka, we have established ourselves as the pioneers in dental implantology.
About Clinic
What Our Client Says
We are committed to sustainability. eco-friendly initiatives.
BOOK AN APPOINTMENT

