Dental Implants
Missing teeth affect more than your oral health — they can impact your confidence and daily life. Do you cover your mouth when you laugh or avoid photos? Dental implants restore not only your smile and chewing ability but also your self-assurance, so you can enjoy life without hesitation.
Types of Dental Implants
Description
Single Tooth Implant
Replaces one missing tooth in a fixed and secure way.
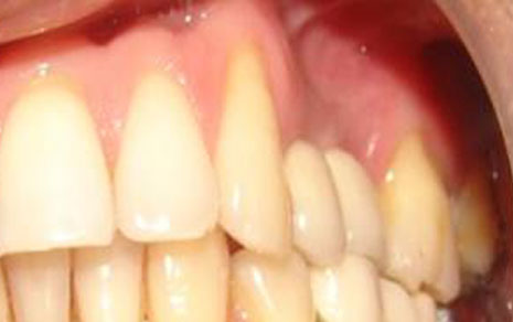
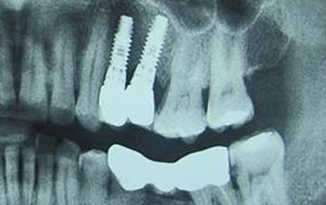
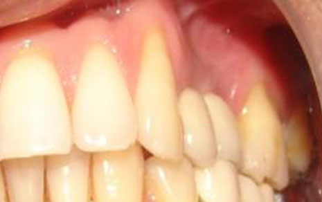
Multiple Implants
Restore several teeth while maintaining chewing function and jaw health.
All-on-4 Implants
Full-arch restoration using just 4 implants, often completed in a few days.
All-on-6 / All-on-8 Implants
Strong support for full-mouth reconstruction, ideal for multiple missing teeth.
Zygomatic / Pterygoid Implants
Anchored in the cheekbone for patients with limited upper jaw bone.
Basal Implants
Quick, minimally invasive solution for patients with less bone remaining.
Keyhole Implants
High-precision, minimally invasive placement.
Mini Implants
Smaller implants, great for stabilizing dentures or limited bone.
TAD Implants (Orthodontic Mini-Implants)
Temporary implants used for precise tooth movement during braces or aligners.
All On Four Implants
ZYGOMATIC IMPLANTS
GUIDED SURGERY IMPLANTS
FULL MOUTH REHABILITATION
PATIENT SPECIFIC IMPLANTS
